Types of Knee Preserving Procedures

Meniscus root tear

Meniscus root tear

A meniscus root tear is a severe knee injury that affects

01
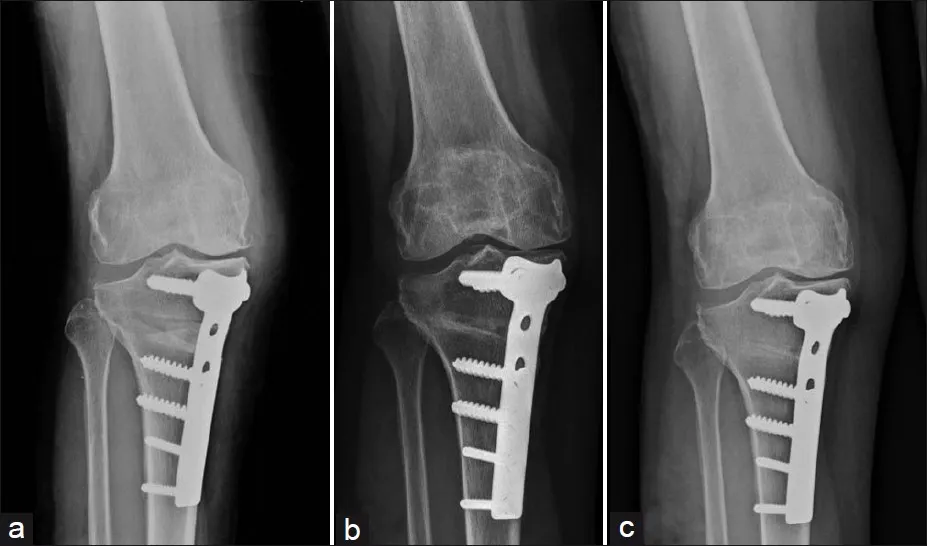
High tibial osteotomy

High tibial osteotomy

High Tibial Osteotomy (HTO) is a surgical procedure used

02
Unicondylar knee replacement

Unicondylar knee replacement

Knee pain can severely impact your daily life, making

03

Scan the QR to call